Ir al contenido

Radiografías Extraorales

Es la herramienta de diagnóstico más importante para detectar problemas a tiempo, planificar tratamientos (como ortodoncia, endodoncia  o implantes) y mantener una buena salud bucal.

TIPOS DE RADIOGRAFÍAS EXTRAORALES

RX PANORÁMICA

Obtenemos una imagen amplia y continua de toda la cavidad bucal en una sola toma. En ella se observan el maxilar superior e inferior, los dientes, las articulaciones temporomandibulares, los senos maxilares y parte de las estructuras óseas vecinas.


Más información

RX ATM (Escanografía)

Es una técnica radiográfica convencional, previa a la tomografía computarizada, que permite obtener imágenes parciales y selectivas de la ATM mediante movimientos lineales del tubo de rayos X y del receptor, con el objetivo de disminuir la superposición de estructuras vecinas.


Más información

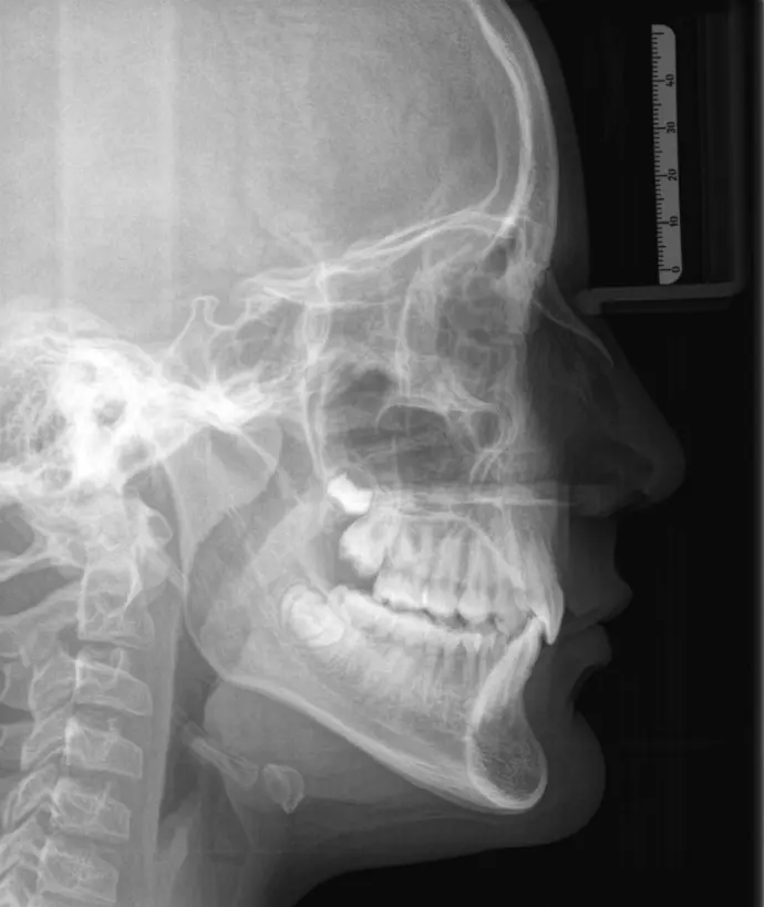
RX CEFALOMÉTRICA

Se obtiene una imagen de perfil de una región anatómica, manteniendo una alineación precisa y simétrica del paciente para evitar distorsiones. Este tipo de proyección permite observar con claridad las estructuras óseas y dentarias en el plano sagital, superponiendo de manera controlada ambos lados.


Más información

RX CARPAL

Permite obtener imágenes de la muñeca y los huesos del carpo, generalmente de la mano izquierda, con el fin de determinar el grado de maduración ósea y evaluar el crecimiento y desarrollo en niños y adolescentes


Más información

RX ANTEROPOSTERIOR

Nos permite visualizar las estructuras anatómicas en su eje frontal, evaluando su alineación, forma, tamaño y relaciones óseas. Utilizandose para, identificar fracturas, deformaciones o lesiones óseas, evaluar articulaciones y estructuras anatómicas


Más información

RX HIRTZ

Permite visualizar parciamente la base del cráneo, los arcos cigomáticos, los senos esfenoidales, las ramas mandibulares y la relación de los cóndilos mandibulares con la base craneal.


Más información