Ir al contenido

Tomografías Cone Beam 3D (CBCT)

Es un examen de diagnóstico por imágenes que utiliza rayos X en forma de haz cónico para obtener imágenes tridimensionales (3D) de alta precisión de los huesos maxilofaciales, dientes y estructuras adyacentes.

FOV 5x5 CM

Diagnósticos focalizados y  atención especializada en endodoncia.

FOV 8x8 CM

Abarca la totalidad de la dentición, incluyendo el maxilar y la mandíbula, además de una porción de los senos maxilares.

FOV 11x10 CM

Captura zonas maxilares, para planificación de implantes, dientes retenidos, evaluación de senos maxilares, senos paranasales.                                     

Tamaños de Adquisición (FOV)

TIPOS DE TOMOGRAFÍAS CONE BEAM

Son estudios 3D avanzados que generan  imágenes tridimensionales muy precisas de los dientes, huesos maxilares, articulación temporomandibular (ATM), senos maxilares y conducto dentario.

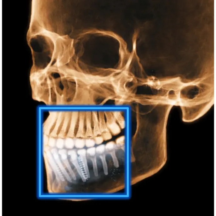
TOMOGRAFÍA DE IMPLANTES

Cuando es necesario evaluar las condiciones óseas de los rebordes alveolares.

Descubrir


TOMOGRAFÍA DE DIENT​ES RETENIDO

Se da en casos de dientes que no completaron su proceso de erupció​n y su ubicación es compleja.

Descubrir


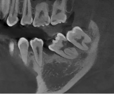
TOMOGRAFÍA DE TERCERAS MOLARES

Identifica la relación dentaria con el conducto mandibular y evitar complicaciones en el proceso quirúrgico.

Descubrir


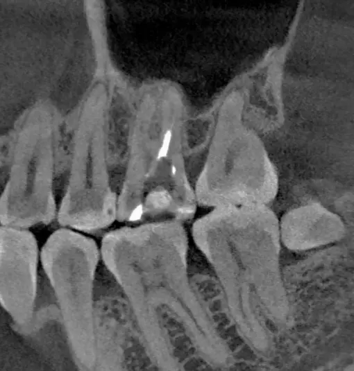
TOMOGRAFÍA PARA ENDODONCIA

Evaluación necesaria en campo reducido para visualizar los conductos radiculares o probables fracturas.

Descubrir



TOMOGRAFÍA PARA PLANIFICACIÓN DE MARPE

Evalua el estadio de la sutura intermaxilar y condiciones óseas del hueso palatino.

Descubrir


TOMOGRAFÍA DE FISURA PALATINA

Permite evaluar con gran precisión los defectos óseos localizados en el maxilar superior.

Descubrir

TOMOGRAFÍA PARA SENOS PARANASALES

Preciso para diagnosticar sinusitis, pólipos, obstrucciones, fracturas o tumores, ya que muestra huesos, mucosas y secreciones, y ayuda a planificar cirugías

Descubrir